Vergrotingshulpmiddelen en de houding van de behandelaar | De hoofdoorzaken en de behandeling van tand- en kiespijn | Tandarts Pieter Klasen: Tegengeluid tegen kwakzalverij is noodzakelijker dan ooit | Waarom twee minuten poetsen en geen drie? | TP Kennistoets 2025-7 Maxillaire hypoplasie
Onlangs was ik op Rabbit Hill in Uddel tijdens een dag van ‘Meer Bomen Nu'. Daar maakte ik kennis met Frida Hulst, net afgestudeerd tandarts die vrijwilligerswerk doet bij de Stichting Meergroen, de organisator van de dag in Uddel.
TP-redacteuren kijken naar de kwaliteit van verschillende nieuwe producten en doen hiervan verslag.
Weet je het nog? Van vroeger? Dan zat je in de bioscoop te wachten tot de film begon. Eerst een reclameblok en dan werd 'ie rondgestuurd. Het licht was nog gedempt als de Biobus van hand tot hand ging. De Biobus.
Twee boeken uitgelicht.
Ik poets elektrisch. Elektrisch poetsen heeft namelijk verschillende voordelen ten opzichte van handmatig poetsen. Alle elektrische tandenborstels hebben een timer van twee minuten. Maar waarom eigenlijk?
De wetenschap staat onder druk, de waarheid is ‘ook maar een mening' en onbewezen claims worden driftig verspreid door influencers. Volgens tandarts Pieter Klasen is een tegengeluid laten horen noodzakelijker dan ooit. Maar hoe doe je dat?
Van kleingeestige mannen met broodnijd tot onverzettelijke vrouwen met geldingsdrang: DBDD duikt de geschiedenis in en speurt naar de eerste vrouwelijke gediplomeerde tandarts in Nederland.
In 2014 kwamen de Densah boren op de markt, ontwikkeld door dr. Salah Huwais van de University of Illinois at Chicago. Hij ontwikkelde de Densah Bur Technologie die gebruikmaakt van een botconservatiemethode die een laag verdicht bot creëert langs het oppervlak van de osteotomie. Twee gebruikers lichten de praktijkervaringen in Nederland en Spanje na tien jaar gebruik toe. ‘Dankzij deze boren en hun multifunctonaliteit zijn er weer een aantal procedures vereenvoudigd.'
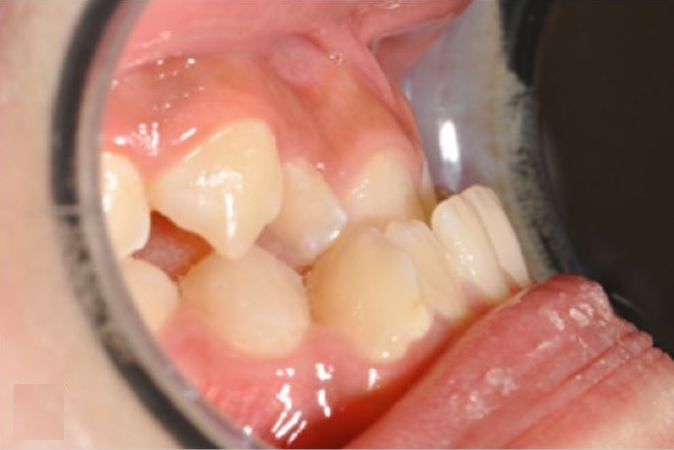
Een skeletale klasse III, gekenmerkt door maxillaire hypoplasie en/of mandibulaire prognathie, resulteert vaak in esthetische en functionele problemen. De behandeling vereist doorgaans een multidisciplinaire aanpak, waarbij orthodontische en chirurgische interventies worden gecombineerd. Deze behandelstrategie brengt aanzienlijke uitdagingen met zich mee, voor zowel de patiënt als zorgverlener. Dit case report bespreekt de klinische overwegingen bij de behandeling van maxillaire hypoplasie.
Didi Landman biedt elke donderdag als straattandarts basale mondzorg aan daklozen in Rotterdam, om hen een nieuwe kans te geven in de maatschappij. Maar ze beseft ook dat ze nooit iedereen kan helpen. Daarom zet ze nu een landelijk initiatief op om meer tandartsen te inspireren voor dit bijzondere werk.
In veel tandartspraktijken is de microscoop of loepbril inmiddels een vertrouwd beeld. Ze zijn onmisbaar voor het leveren van nauwkeurig werk, of het nu gaat om een wortelkanaalbehandeling of een microchirurgische ingreep. Toch blijkt uit onderzoek dat juist deze vergrotingshulpmiddelen de houding van de behandelaar negatief kunnen beïnvloeden.
Bestraling veroorzaakt schade aan de omliggende gezonde weefsels. In het kaakbot kan dit leiden tot osteoradionecrose (ORN). Doel van dit onderzoek was om meer te weten te komen over de veranderingen die optreden in het kaakbot door bestraling die voorafgaat aan het ontstaan van ORN.
De KNMT-handleiding ‘Niet-aangaan of beëindigen behandelings- overeenkomst' biedt houvast wanneer u overweegt om een behandelrelatie te beëindigen of deze niet aan te gaan. Wat betekent dit in de praktijk? Jurist Theo van Noord licht toe.
Als kind liep ze al met vorkjes en lepeltjes achter haar vriendjes aan om hun tandjes te controleren. Die ware passie voor het vak heeft de Iraanse Maryam Raoof in Nederland verder uitgebouwd.
Behandeling van pijnklachten komt regelmatig voor. Niet altijd wordt daar voldoende tijd voor uitgetrokken, waardoor de pijn kan voortduren. Jan Warnsinck bespreekt de hoofdoorzaken van tand- en kiespijn en de behandeling.
Hieronder kun je TandartsPraktijk nr. 7-2025 lezen als doorbladerbare pdf. Wil je de online artikelen liever als losse artikelen lezen dan kan dat natuurlijk ook. Om onderstaande pdf te kunnen bekijken, moet je ingelogd zijn met een TandartsPraktijk-abonnement.
Michelangelo Buonarroti (1475–1564) geldt als één van de grootste kunstenaars van de renaissance. Zijn werk kenmerkt zich door imposante, gespierde figuren en toont zijn, zeker voor die tijd, uitzonderlijke kennis van de menselijke anatomie.
Een TP Kennistoets is gekoppeld aan één artikel / thema en bestaat uit 10 vragen. Deelname is gratis voor abonnees op TandartsPraktijk en BSL Tandarts Totaal. Accreditatie: 1 KRT-punt.

