Orthodontie

Groeiende zorgen over declaraties bij commerciële ketens

Binnen de mondzorg klinken steeds vaker signalen over onduidelijke of onnauwkeurige declaraties, met name bij praktijken die de afgelopen jaren zijn overgenomen door commerciële tandartsketens. Medewerkers spreken van toenemende druk om de productie op te voeren, terwijl patiënten vaker vragen stellen over onverwachte kosten op hun rekening.

Horen, zien en niet langer zwijgen   

Onveiligheid in de mondzorgpraktijk is een onderwerp dat zelden hardop wordt besproken. In behandelkamers klinkt het geluid van instrumenten, in vergaderruimtes worden protocollen besproken, maar over grensoverschrijdend gedrag, hiërarchische druk en psychologische veiligheid blijft het vaak opvallend stil. Voor mondhygiënist Lieneke Steverink‑Jorna is dat stilzwijgen niet langer houdbaar.
Algemene tandheelkunde

Huftergedrag op de werkvloer

Jarenlang werkte zij in uiteenlopende praktijken, en steeds opnieuw merkte ze hoe de veiligheid van zorgprofessionals onder druk kan staan. In haar boek ‘Een Boekje Open Mondzorg’ en in een openhartig gesprek vertelt ze over die ervaringen, niet om ophef te veroorzaken maar omdat het broodnodig is. Luister hier de podcast waarin TP-hoofdredacteur Sander Loos […]
Orthodontie

Ontzegging van supervisiebevoegdheid na misstanden bij orthodontische behandeling

Het Regionaal Tuchtcollege voor de Gezondheidszorg Amsterdam heeft een klacht tegen een tandarts gegrond verklaard en een gedeeltelijke ontzegging van bevoegdheid én een voorwaardelijke schorsing opgelegd. De tandarts wordt verweten dat hij heeft gefaald in zijn supervisierol bij een complexe orthodontische behandeling, waardoor een niet‑BIG‑geregistreerde behandelaar onbevoegd en onzorgvuldig heeft kunnen handelen.

Dental Best Practice neemt Academie Tandartsenpraktijk over

Per 1 januari is Academie Tandartspraktijk overgenomen door Dental Best Practice. Met deze overname bundelen beide organisaties hun krachten om het opleidingsaanbod binnen de tandheelkunde verder te verdiepen en te verbreden, met speciale aandacht voor orthodontie, blended learning en e-learning.

KNMT vangt bot bij rechter: tarieven gaan omlaag

Volgens de rechter kunnen de bezwaarmakers onvoldoende onderbouwen waarom de normatieve arbeidscomponent (nac) zoals door de NZa berekend, niet correct is. Lees hier de hele uitspraak

NZa: meer opleidingsplaatsen noodzakelijk

De NZa roept de politiek op om de adviezen van het Capaciteitsorgaan op te volgen om jaarlijkse 375 opleidingsplaatsen voor tandartsen te realiseren. Volgens de NZa is dat nodig omdat tegen 2030 ongeveer 20% van de huidige tandartsen met pensioen is. Daartegenover stromen er jaarlijks 260 nieuwe tandartsen in. Door vergrijzing is er bovendien een toenemende vraag naar mondzorg.

Top 10 grootste tandheelkundige bedrijven wereldwijd

De top 10 van grootste bedrijven actief in de tandheelkunde wordt dit jaar aangevoerd door het Zwitserse concern Straumann, dat actief is in implantaten, biomaterialen, digitale tandheelkunde. De top 10 verandert echter wezenlijk als we ook producenten van consumentenartikelen zoals tandpasta's en mondwaters meetellen. De eerste plaatsen gaan dan naar multinationals zoals Haleon (Sensodyne, Parodontax), Colgate-Palmolive (Colgate, Elmex, Meridol) en Procter & Gamble (Oral-B, Crest, Fixodent).
Orthodontie

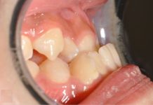
Behandeling van maxillaire hypoplasie | TP Kennistoets

Een skeletale klasse III, gekenmerkt door maxillaire hypoplasie en/of mandibulaire prognathie, resulteert vaak in esthetische en functionele problemen. De behandeling vereist doorgaans een multidisciplinaire aanpak, waarbij orthodontische en chirurgische interventies worden gecombineerd. Deze behandelstrategie brengt aanzienlijke uitdagingen met zich mee, voor zowel de patiënt als zorgverlener. Dit case report bespreekt de klinische overwegingen bij de behandeling van maxillaire hypoplasie.

Richtlijn Gebitsslijtage algemeen verbindend verklaard

De FTWV en de KNMT hebben in juni van dit jaar de klinische praktijkrichtlijn Gebitsslijtage van blijvende elementen (2025) algemeen verbindend verklaard. Per 1 september is de richtlijn onderdeel van de  professionele standaard in de mondzorg.

Over orthodontie

Verbetering occlusie en esthetiek

De orthodontist is de tandarts-specialist voor scheve tanden en kiezen. Hij begeleidt de groei en ontwikkeling van de kaak en tanden (gebitsregulatie). Veel kinderen zijn onder behandeling bij een orthodontist om gebitsproblemen al in een zo vroeg mogelijk stadium aan te pakken. Veel kinderen lopen tegenwoordig met een (uitneembare) onzichtbare beugel (invisalign) of een vaste beugel met zichtbare slotjes. Maar er kloppen ook steeds meer volwassenen aan voor een behandelplan ter verbetering van de occlusie en esthetiek. Veel mensen willen een perfect gebit, een stralende lach: digital smile design.

Video