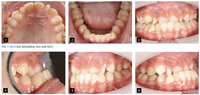
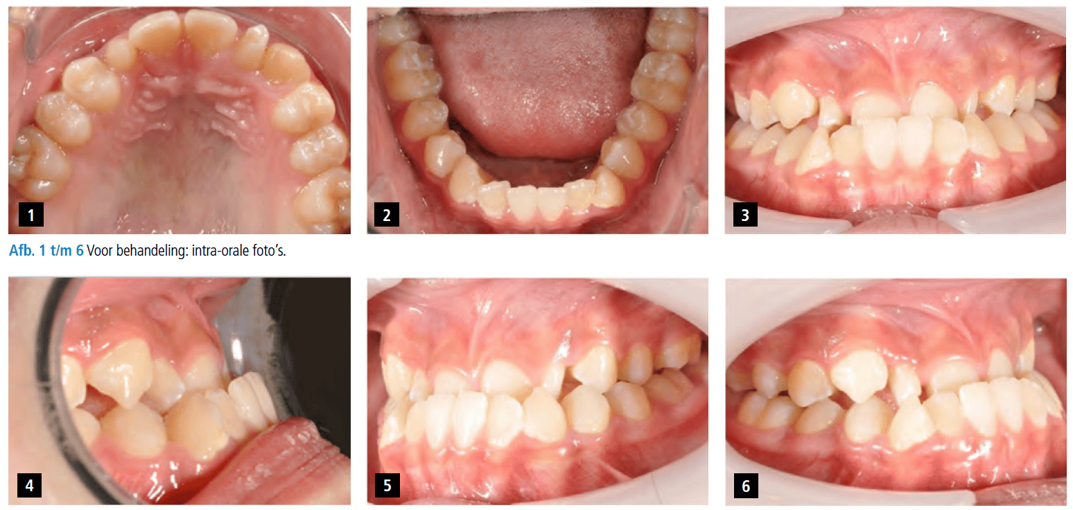
Een skeletale klasse III, gekenmerkt door maxillaire hypoplasie en/of mandibulaire prognathie, resulteert vaak in esthetische en functionele problemen. De behandeling vereist doorgaans een multidisciplinaire aanpak, waarbij orthodontische en chirurgische interventies worden gecombineerd. Deze behandelstrategie brengt aanzienlijke uitdagingen met zich mee, voor zowel de patiënt als zorgverlener. Dit case report bespreekt de klinische overwegingen bij de behandeling van maxillaire hypoplasie.
Van onze partner
09 okt 2025
Artikel bewaren
Je hebt een account nodig om artikelen in je profiel op te slaan
Login of Maak een account aanReacties0
Behandeling van maxillaire hypoplasie
Sanam Sachadava
Stephan Tan

